Diphteria outbreak: Imo lawmaker calls for more vigilance

He urged parents to observe their children closely and ensure they take prompt action once they noticed the symptoms.;

Update: 2025-06-03 15:24 GMT

Imo House of Assembly member, Mr Ugochukwu Amuchie (PDP Aboh Mbaise) on Tuesday called on parents and guardians to observe their children and wards closely for early identification of diphteria disease.

Amuchie who doubles as minority leader of house made the call via a motion on adjournment during the assembly’s plenary in Owerri.

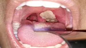
Supreme news reports that diphtheria is a serious bacterial infection caused by Corynebacterium diphtheriae.

It primarily affects the mucous membranes of the throat and nose, but it can also affect the skin (cutaneous diphtheria).

The disease spreads from person to person through respiratory droplets (coughing, sneezing), direct contact with an infected person or contaminated objects.

Amuchie lamented that in Mbutu community of Abo Mbaise area that six pupils have been killed, while 11 others were quarantined since the outbreak of disease.

He urged parents to observe their children closely and ensure they take prompt action once they noticed the symptoms.

The lawmaker thanked the state government for their prompt response, while commending the Centre for Disease Control and the ministry of health for their swift intervention.

He said that free immunisation of children has commenced in Aboh Mbaise Local Government Area.

Supreme news recalled that the Commissioner for Health, Dr Chioma Egu had earlier announced that the ministry had activated its rapid response mechanisms to tackle the problem.

The commissioner called for calm and urged the people of Imo to cooperate with the health workers and other officials on the matter.

Tags:    

Similar News